ئەمڕۆ دەتەوێت چی بکڕیت؟
بالاتفاق
سيد زيد 07719352716
بالاتفاق
كت Zinc mono ٥٠ تيست مقيم من وزارة الصحة العراقية 07870265619 للتوا...
بالاتفاق
سيد زيد لعمل البورسلين و السيراميك 07719352716
بالاتفاق
يا الله تم وصول غراض مستعملة يم معرض ومزاد علي زاخو العنوان بغداد كفاء...
بالاتفاق
سيد صفاء ٠٧٧٣٩١٨٨٦٧٨ ٠٧٨٦٠٥٤٤٨٠٨
بالاتفاق
♦️♦️تحية طيبة يتواجد الدكتور الاختصاص حسين الحسناوي كل ايام الاسبوع ...
٩٠٬٠٠٠ دينار
معهد العميد التعليمي
بالاتفاق
احمد القريشي صحيات عامة 07735690149 متفرغ حاليا

بالاتفاق
السلام وعليك موئسسين مجاري صحيات عامه ٠٧٧٧٤٠١٧١٣١/////٠٧٥١١٢٧٤٣٤١
٤٠٠٬٠٠٠ دينار
07702916005 400 الف
بالاتفاق
منو محتاج تعويض لاسنانه او عنده مثل هاي الحاله 👇 للحجز والاستفسار تواص...
بالاتفاق
سنمد البيع. موديل 12 نظيفه جدا رقم مثنى //07881073218 واتساب اتصال
بالاتفاق
تأسيس صحيات سيد حسن 07713895908
بالاتفاق
سيد مهدي 07765929503
بالاتفاق
الدكتور حسين زياد العيساوي اختصاص مفاصل والفقرات والروماتيزم والتأهيل ...
بالاتفاق
عمنه ربط صاعد نازل تأسيس صحيات عامه مي مجاري 07744562596
بالاتفاق
07744562596سيد تأسيس صحيات
بالاتفاق
#شخصية_الطفل #تربية_الاطفال د.ياسر الزيادي إختصاص طب الأطفال وحديثي ...
بالاتفاق
خلفة صحيات مي ومجاري 07700522139 بية وتساب
بالاتفاق
16تيرا علي مزاد وزاد الله من زاد شرط الفحص توصيل ٥ 07715546218

بالاتفاق
اخوكم مشغل مولد صاحب خبرة الي محتاج مشغل يتواصل وياي سكن البياع شهداء ...
بالاتفاق
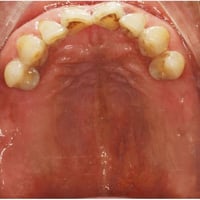
الي فاقد اسنان تشبه الحالات البصور يراسلني واتساب 07734280577 العنوان ...
بالاتفاق
❤️اللهم صل على محمد وآل محمد ❤️ 🔴وجبة جديدة 🆕 مع شهر رمضان المبارك 🌙❤️...
بالاتفاق
شغال كلشي ما بيه للبيع سعر خاص 07886597481
ڕاقی — بازاڕی ئیعلانەکان لە بەغدا
لە ڕاقی دەتوانیت ئیعلانە نوێ و بەکارهێنراو بدۆزیتەوە لە زۆر بەشدا. گەڕان و فلتەرەکان بەکاربهێنە بۆ ئەوەی خێراتر بگەیتە ئەنجامی دروست.
ڕێنمایی: وردەکاری بخوێنەوە، وێنەکان باش ببینە، و پێش کڕین لە شوێنێکی ئارام و پارێزراودا بینین بکە.
