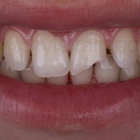
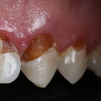
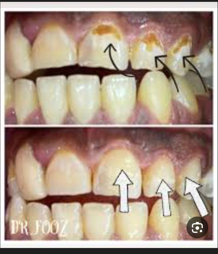
السلام عليكم الي عنده مثل هيج تسوس يتواصل وياي والعمل مجاني للتواصل ارسل رساله ع واتساب ***********
بالاتفاق
وردەکارییەکان
قسم
خدمات
السعر
بالاتفاق
وقت النشر
قبل ٤ ساعات
ئیعلانە هاوشێوەکان
ڕێنمایی خێرا پێش کڕین
زانیارییەکان دڵنیابکەوە (نرخ، شوێن، دۆخ) و لەگەڵ ئیعلانە هاوشێوەکاندا نرخەکە هاوبەش بکە.
پارە پێشەکی مەگێڕەوە، پەیوەندی بە ژمارەی ڕوون بکە، و لە شوێنێکی پارێزراودا بینین ڕێک بخە.

