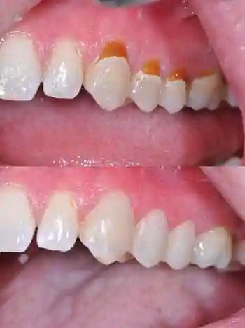
سلام عليكم 📌 الي يحتاج: 1)طقم اسنان جزئي 2)حشوات تجميلية 3)تنظيف الأسنان وازالة التكلسات 4)قلع الجذور والاسنان التالفة يتواصل ويايه على الخاص او على الرقم *********** متوفر واتساب ✨علماً العلاج مجاني بالكامل
بالاتفاق
وردەکارییەکان
قسم
خدمات
السعر
بالاتفاق
وقت النشر
قبل ٤ ساعات
ئیعلانە هاوشێوەکان

بالاتفاق
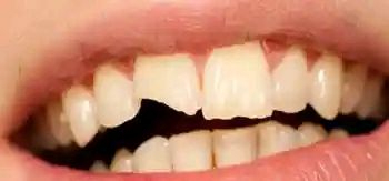
قلع اسنان • طقم متحرك • مجاني كلية البيان

بالاتفاق
تنظيف اسنان • ازالة تكلسات • حشوات/خلع

بالاتفاق
تنظيف اسنان • علاج لثة • كرادة شارع-٥٢
بالاتفاق
جامعة العميد • عيادات أسنان • تنظيف مجاني

بالاتفاق
عيادة أسنان • جامعة العميد • تنظيف مجاني

بالاتفاق
خدمات أسنان • مجانا بإشراف أطباء • باب المعظم

بالاتفاق
علاج اسنان مجاني • البصرة • حشوة تجميلية
بالاتفاق
تنظيف أسنان • علاج مجاني • ذي قار
بالاتفاق
تنظيف أسنان • علاج مجاني

بالاتفاق
علاج مجاني • قلع اسنان مجاني • تنظيف اسنان

بالاتفاق
تنظيف تكلسات • مجاني • عيادات بيارق العميد
بالاتفاق
تنظيف اسنان • قلع اسنان • مجاني بالجامعة
ڕێنمایی خێرا پێش کڕین
زانیارییەکان دڵنیابکەوە (نرخ، شوێن، دۆخ) و لەگەڵ ئیعلانە هاوشێوەکاندا نرخەکە هاوبەش بکە.
پارە پێشەکی مەگێڕەوە، پەیوەندی بە ژمارەی ڕوون بکە، و لە شوێنێکی پارێزراودا بینین ڕێک بخە.
