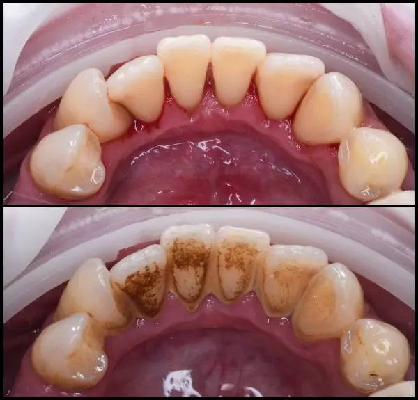
عيادات الكفيل تستقبل الحالات الاتيه: _تنظيف اسنان من التكلسات (مجانا) _قلع الاسنان وبقايا الجذور(مجانا) _تعويض الاسنان _حشوات ضوئية(مجانا) علما ان العمل مجاناً 🔴 العنوان: عيادات جامعة الكفيل _ النجف شارع الاسكان _ مجاور مستشفى الزهراء للحجز التواصل على الرقم: *********** واتساب الانستغرام: Q3_2m
بالاتفاق
وردەکارییەکان
قسم
خدمات
السعر
بالاتفاق
العنوان
عيادات جامعة الكفيل _ النجف شارع الاسكان _ مجاور مستشفى الزهراء
وقت النشر
قبل ١٠ ساعات
ئیعلانە هاوشێوەکان

قبل يوم
بالاتفاق
النجف • عيادات الجامعة الاسلامية • فحص اسنان شامل

قبل ٣ أيام
بالاتفاق
تنظيف اسنان مجاني • الاحد • عيادات طب الاسنان

قبل ٥ أيام
بالاتفاق
اسنان مجاناً • النجف شارع الاسكان • عيادات الكفيل

قبل ٧ أيام
بالاتفاق
نجف • قلع اسنان • علاج مجاني

قبل ٧ أيام
بالاتفاق
علاج مجاني • عيادات جامعة الكوفة • قلع أسنان
قبل ٨ أيام
بالاتفاق
تنضيف تكلسات • مجاني • عيادات جامعة الكوفه
قبل ٨ أيام
بالاتفاق
أسنان مجانية • قلع حشوات • عيادات الكفيل
ڕێنمایی خێرا پێش کڕین
زانیارییەکان دڵنیابکەوە (نرخ، شوێن، دۆخ) و لەگەڵ ئیعلانە هاوشێوەکاندا نرخەکە هاوبەش بکە.
پارە پێشەکی مەگێڕەوە، پەیوەندی بە ژمارەی ڕوون بکە، و لە شوێنێکی پارێزراودا بینین ڕێک بخە.
