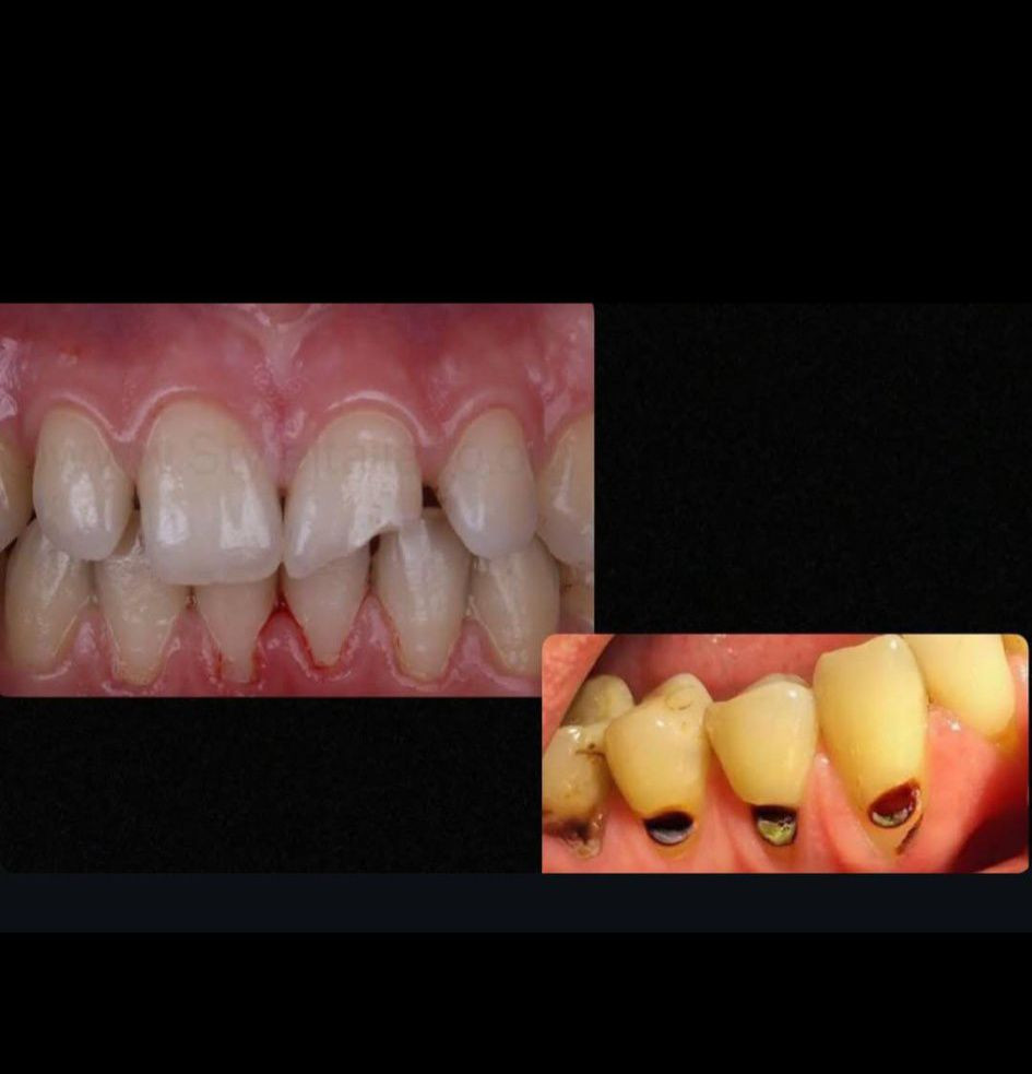
السلام عليكم الي عنده هيج تسوس او كسر بالسن الامامي يكدر يتفضل لعياداتنه لغرض العلاج المجاني كربلاء حي الحر للتواصل واتساب ***********
بالاتفاق
وردەکارییەکان
قسم
خدمات
السعر
بالاتفاق
العنوان
كربلاء حي الحر
وقت النشر
قبل ١٠ ساعات
ئیعلانە هاوشێوەکان
بالاتفاق
جامعة العميد • عيادات أسنان • تنظيف مجاني

بالاتفاق
تنظيف تكلسات • مجاني • عيادات بيارق العميد
بالاتفاق
كربلاء • متفرغ • سمنت وجص

بالاتفاق
لبخ جص سمنت • شغل نضيف • كربلاء
بالاتفاق
كربلاء • جص سمنت • واجهات
بالاتفاق
طب اسنان • علاج مجاني • كربلاء السعديه

بالاتفاق
عيادة أسنان • جامعة العميد • تنظيف مجاني
بالاتفاق
تأسيس ماء ومجاري • صحيّات عامة • كربلاء
بالاتفاق
مجانا • حشوات ضوئية • كربلاء

بالاتفاق
تنظيف اسنان • مجاني • عيادات جامعة كربلاء
بالاتفاق
خدمات اسنان مجانية • عيادات الصفوة • كربلاء -حي النقيب

بالاتفاق
علاج مجاني • كربلاء السعدية • طقم اسنان جزئي
ڕێنمایی خێرا پێش کڕین
زانیارییەکان دڵنیابکەوە (نرخ، شوێن، دۆخ) و لەگەڵ ئیعلانە هاوشێوەکاندا نرخەکە هاوبەش بکە.
پارە پێشەکی مەگێڕەوە، پەیوەندی بە ژمارەی ڕوون بکە، و لە شوێنێکی پارێزراودا بینین ڕێک بخە.
