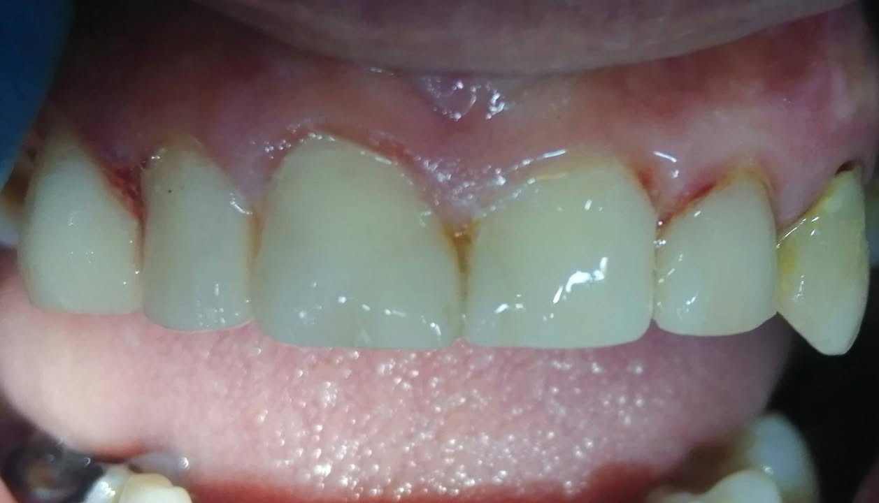
ترميم وتجميل الاسنان الاماميه بحشوات تجميليه باستخدام العازل المطاطي. د مهند عبد الجواد الطحان الهاشمي ماجستير ودبلوم عالي تعويض الأسنان سايدين مستشفى#القيارهالعام مقابل باب الطوارى الرئيسي مجاور صيدليه عبدالله المعماري للحجز والاستفسار التواصل على الرقم ***********# طابق ارضى
بالاتفاق
وردەکارییەکان
قسم
خدمات
السعر
بالاتفاق
العنوان
سايدين مستشفى#القيارهالعام
وقت النشر
قبل يوم
ئیعلانە هاوشێوەکان
ڕێنمایی خێرا پێش کڕین
زانیارییەکان دڵنیابکەوە (نرخ، شوێن، دۆخ) و لەگەڵ ئیعلانە هاوشێوەکاندا نرخەکە هاوبەش بکە.
پارە پێشەکی مەگێڕەوە، پەیوەندی بە ژمارەی ڕوون بکە، و لە شوێنێکی پارێزراودا بینین ڕێک بخە.
