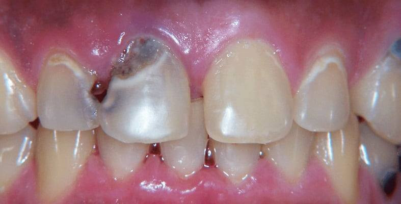
🦷💥 تسوس الأسنان؟ لا تقلق! علاج التسوس سريع وآمن، لن تترك أي ألم أو حساسية خلفك! ✨ تنظيف كامل للأسنان ✨ حشوات آمنة وطويلة الأمد ✨ نصائح للوقاية من التسوس احجز الآن وابتسم بثقة! 😁 📞 للحجز: *********** *********** *********** 📍 المكان: [بغداد/الكراده/شارع ٥٢/عيادات جامعة اوروك ]
بالاتفاق
وردەکارییەکان
قسم
خدمات
السعر
بالاتفاق
العنوان
[بغداد/الكراده/شارع ٥٢/عيادات جامعة اوروك ]
وقت النشر
قبل ١٧ ساعات
ئیعلانە هاوشێوەکان

بالاتفاق
تنظيف أسنان مجاني • تكلسات الأسنان • كراج الموحد

بالاتفاق
خدمات أسنان • مجانا بإشراف أطباء • باب المعظم
بالاتفاق
حشوات تجميلية • تحديد الشفايف • الدورة المهدية

بالاتفاق
تنظيف سنان • حشوات وقلع • فحص وعلاج مجاني
بالاتفاق
تعويض الاسنان • علاج مجاني • جامعة الاسراء

بالاتفاق
تنظيف أسنان • تلميع أسنان • زيونة بغداد
بالاتفاق
علاج أسنان مجاني • قلع أسنان • حشوات

بالاتفاق
طقم أسنان متحرك • كلية الإسراء • بغداد
بالاتفاق
علاج اسنان مجاني • جامعة المشرق • قلع اسنان
بالاتفاق
عيادات جامعة الاسراء • عيادة اسنان • علاج مجاني
بالاتفاق
حشوة جذر • بدون ألم • حي الحسين

بالاتفاق
علاج اسنان مجاني • قلع اسنان • كلية دجلة
ڕێنمایی خێرا پێش کڕین
زانیارییەکان دڵنیابکەوە (نرخ، شوێن، دۆخ) و لەگەڵ ئیعلانە هاوشێوەکاندا نرخەکە هاوبەش بکە.
پارە پێشەکی مەگێڕەوە، پەیوەندی بە ژمارەی ڕوون بکە، و لە شوێنێکی پارێزراودا بینین ڕێک بخە.
