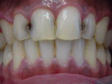
السلام عليكم .. الي عنده مثل هاي الحالات ويريد علاجهم يتواصل ويايه ع هلرقم *********** علاج مجاني العنوان بغداد الدورة جامعة دجلة تحت اشراف اطباء اختصاص
بالاتفاق
وردەکارییەکان
قسم
خدمات
السعر
بالاتفاق
العنوان
بغداد الدورة جامعة دجلة
وقت النشر
قبل ٥ أيام
ئیعلانە هاوشێوەکان

بالاتفاق
قلع اسنان • تنظيف اسنان • مجاني منصور
بالاتفاق
تكلسات • جذور متبقية • علاج مجاني

بالاتفاق
حشوات اسنان • علاج مجاني • جامعة الهادي
بالاتفاق
خلفه • بغداد • أسعار مناسبة

بالاتفاق
تنظيف سنان • حشوات وقلع • فحص وعلاج مجاني

بالاتفاق
علاج اسنان مجاني • قلع اسنان • كلية دجلة
بالاتفاق
علاج مجاني • كادر طبي مختص • جامعة البيان

بالاتفاق
بغداد • حمل للقائم
بالاتفاق
علاج اسنان مجاني • جامعة المشرق • قلع اسنان
بالاتفاق
فجر لبغداد • مواصلات • رحلات

بالاتفاق
علاج اسنان مجاني • اشراف طبي • الدوره جامعة دجله
بالاتفاق
صيانة صحيات • متفرغ • بغداد
ڕێنمایی خێرا پێش کڕین
زانیارییەکان دڵنیابکەوە (نرخ، شوێن، دۆخ) و لەگەڵ ئیعلانە هاوشێوەکاندا نرخەکە هاوبەش بکە.
پارە پێشەکی مەگێڕەوە، پەیوەندی بە ژمارەی ڕوون بکە، و لە شوێنێکی پارێزراودا بینین ڕێک بخە.
