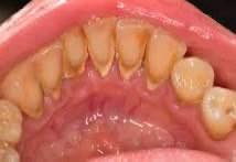
السلام عليكم منو يحتاج تنظيف اسنان وازاله جميع التكلسات مثل الي بل صور الي محتاج يتواصل وياي على الرقم *********** العنوان:كلية طب الأسنان جامعه بابل مقابيل كراج الموحد الوقت :ساعه العاشره صباحا علما ان العلاج بشكل مجاني
بالاتفاق
وردەکارییەکان
قسم
خدمات
السعر
بالاتفاق
العنوان
كلية طب الأسنان جامعه بابل مقابيل كراج الموحد
وقت النشر
قبل ٦ أيام
ئیعلانە هاوشێوەکان

قبل يومين
بالاتفاق
عيادة أطفال • حشوات وقلع • الحلة شارع 40
قبل يومين
بالاتفاق
دكتور أسنان • عمل مجاني • الحلة شارع ٤٠

قبل ٣ أيام
بالاتفاق
تصليح سخان • تبديل هيتر • الحميدية
قبل ٤ أيام
بالاتفاق
علاج اسنان اطفال • مجاني • عيادات جامعه الزهراوي
قبل ٥ أيام
بالاتفاق
علاج اسنان الاطفال • مجاني • الحلة شارع 40
قبل ٥ أيام
بالاتفاق
ورشة الحمداني • صيانة تبريد • طويريج حي الزهراء
قبل ٥ أيام
بالاتفاق
الحلة شارع ٤٠ • علاج مجاني • حشوات تنظيف قلع
ڕێنمایی خێرا پێش کڕین
زانیارییەکان دڵنیابکەوە (نرخ، شوێن، دۆخ) و لەگەڵ ئیعلانە هاوشێوەکاندا نرخەکە هاوبەش بکە.
پارە پێشەکی مەگێڕەوە، پەیوەندی بە ژمارەی ڕوون بکە، و لە شوێنێکی پارێزراودا بینین ڕێک بخە.
