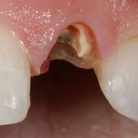
سلام عليكم عيادة القلع مفتوحة من السبت إلى الأربعاء في جامعة الهادي الي عندة اسنان او جذور محتاجة قلع العلاج من قبل طلاب طب الأسنان الي متاح قلع بتواصل واتس اب *********** واتس اب اذا محتاج فحص فقط ايضا متوفر و مجاني
بالاتفاق
وردەکارییەکان
قسم
خدمات
السعر
بالاتفاق
العنوان
جامعة الهادي
وقت النشر
قبل ٩ أيام
ئیعلانە هاوشێوەکان
بالاتفاق
قلع أسنان مجاني • سن مكسور • بغداد كلية السلام

بالاتفاق
قلع اسنان مجاناً • جذور تالفة • كلية السلام الجامعة

بالاتفاق
تنظيف سنان • جامعة الفراهيدي • علاج مجاني

بالاتفاق
قلع أسنان • مجاني • كليه السلام

بالاتفاق
دكتورة سميه • قلع وحشوات • عيادات كلية دجلة
بالاتفاق
علاج اسنان مجاني • جامعة المشرق • قلع اسنان
بالاتفاق
قلع أسنان • مجاني • كلية السلام

بالاتفاق
تنظيف اسنان • علاج لثة • كرادة شارع-٥٢
بالاتفاق
قلع أسنان • جذور منتهية • حي الاسكان

بالاتفاق
قلع اسنان • جلسات تنظيف • علاج مجاني

بالاتفاق
حشوات اسنان • علاج مجاني • جامعة الهادي
بالاتفاق
عيادات مجانية • حشوات اسنان • الطارمية
ڕێنمایی خێرا پێش کڕین
زانیارییەکان دڵنیابکەوە (نرخ، شوێن، دۆخ) و لەگەڵ ئیعلانە هاوشێوەکاندا نرخەکە هاوبەش بکە.
پارە پێشەکی مەگێڕەوە، پەیوەندی بە ژمارەی ڕوون بکە، و لە شوێنێکی پارێزراودا بینین ڕێک بخە.
