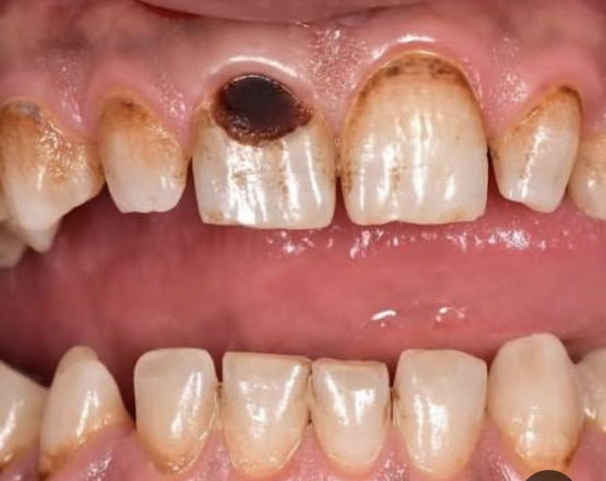
السلام عليكم اي احد عنده هاي الحالات يتواصل وياي العلاج مجاني المكان عيادات جامعه المشرق مقابل ساحة عباس بن فرناس ***********
بالاتفاق
وردەکارییەکان
قسم
خدمات
السعر
بالاتفاق
العنوان
عيادات جامعه المشرق مقابل ساحة عباس بن فرناس
وقت النشر
قبل ١٦ أيام
ئیعلانە هاوشێوەکان
بالاتفاق
د. أصدق الموسوي • جراحة عامة • مجمع علم الكندي

بالاتفاق
طقم متحرك • علاج مجاني • القشله

بالاتفاق
سيارة خصوصي • سائق • حي الاطباء
بالاتفاق
مجاناً غداً • عيادات حي الموظفين • قرب مستشفى الولادة
بالاتفاق
عيادة زينة الحياة • زرق ابر قياس ضغط • نساء وأطفال
بالاتفاق
عيادات جامعة العميد • خلف مول الحارث

بالاتفاق
الاسكان الصناعي-مستشفى الاسكان • سيارة حديثة • مقعد شاغر
بالاتفاق
جراحة عامة • باطنية • مجمع الكندي بسماية

بالاتفاق
تنظيف اسنان • قلع اسنان • مجاني
بالاتفاق
عيادات • حي الموظفين • قرب مستشفى الولادة

بالاتفاق
تنظيف أسنان • طقم متحرك • جامعة الزهراوي

بالاتفاق
قلع أسنان • تنظيف تكلسات • عيادات جامعة المنارة
ڕێنمایی خێرا پێش کڕین
زانیارییەکان دڵنیابکەوە (نرخ، شوێن، دۆخ) و لەگەڵ ئیعلانە هاوشێوەکاندا نرخەکە هاوبەش بکە.
پارە پێشەکی مەگێڕەوە، پەیوەندی بە ژمارەی ڕوون بکە، و لە شوێنێکی پارێزراودا بینین ڕێک بخە.
