شتريد تشتري اليوم؟
بالاتفاق
محطه اليقين متوفر تبديل دهن جميع انواع سيارات و تكتك وغسل بل كامل عرو...
بالاتفاق
انتقل محل اليقين تعهدات زجاجية عامة باتجاه مجلس البلدي سيد صفاء 077...
بالاتفاق
ًًمحطة النخلات النموذجية يوجد بوليش ويوجد جلي لايتات ويوجد حمام بالبخا...
بالاتفاق
جلسات تدريب نطق مجانيه تدريب مجاني لزارعي القوقعه وضعاف السمع معهد ح...
بالاتفاق
طبتم وطاب صباحكم متواجدون طيلة أيام الاسبوع من الساعة 8 صباحا الى السا...
بالاتفاق
محلات نور الايمان للاطارات والبطاريات جملة - مفرد للاستفسار واتساب 0...
بالاتفاق
شركة #اليقين#لنقل الاثاث العام السلام عليكم زبائننا الكرام لاتفكر نحن ...
بالاتفاق
محلات نور الايمان للاطارات والبطاريات جملة - مفرد للاستفسار واتساب 0...
بالاتفاق
محطة 20,20 البياع شارع المحكمه م. رضا جاسم 07718540528
بالاتفاق
محلات نور الايمان للاطارات والبطاريات جملة - مفرد للاستفسار واتساب 0...
بالاتفاق
🔥عروض حملات اليقين 👉♥️ اخر 6 مقاعد متبقيه ✋🏃🏃🏃 ⛔ اليوم الجمعه تاريخ ...
بالاتفاق
محطة ام المتر مع كامل المحتويات المحطة جديدة ١٠٠٠ لتر بل ساعة مكان بغد...
بالاتفاق
محطة متكاملة للبيع تريد غراض تريد كاملة براحتك المكان المعالف بسعر منا...
بالاتفاق
محلات نور الايمان للاطارات والبطاريات جملة - مفرد للاستفسار واتساب 0...
بالاتفاق
محلات نور الايمان للاطارات والبطاريات جملة - مفرد للاستفسار واتساب 0...
٨٥٬٠٠٠ دينار
محطة 20,20 البياع شارع المحكمه 07718540528
بالاتفاق
شركة #اليقين#لنقل الاثاث العام السلام عليكم زبائننا الكرام لاتفكر نحن ...

بالاتفاق
محطة غاز مع نفط للبيع مساحتها ١٥٦٠متر طابو ملك صرف المحطة شغاله علي...
بالاتفاق
اعــــــــــــلان📢 📢 👇 برامج حملات اليقين هذا الأسبوع 👇 رمضان كريم ع...
٤٥٬٠٠٠ دينار
حي الجهاد دور الشرطه قرب محطة كهرباء الطاك
بالاتفاق
محلات نور الايمان للاطارات والبطاريات جملة - مفرد للاستفسار واتساب 0...
بالاتفاق
محلات نور الايمان للاطارات والبطاريات جملة - مفرد للاستفسار واتساب 0...
بالاتفاق
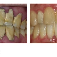
الي عنده تكلسات نفس الصوره ⬇️ يتواصل وياي باجر اخر عياده تنظيف اسنان م...
بالاتفاق
متوفر لمن لديه حالات مشابه لهذه الحالة تنظيف اسنان مجاني للحجز 0775205...
راقی — سوق الإعلانات في بغداد
راقی يساعدك تگّي الإعلانات الجديدة والمستعملة بكل الأقسام. استخدم البحث أو الفلاتر حتى توصل للإعلان المناسب بسرعة.
من نصائحنا: اقرأ التفاصيل، شوف الصور بوضوح، واتفق على مكان آمن للمعاينة قبل الشراء.
