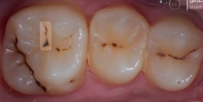
السلام عليكم الي عندة مثل هذة التسوسات محتاج حشوةبيضاء(حشوة عادية)وليست حشوة جذر يتواصل على الواتساب:*********** للحجز الموقع : كلية طب الاسنان -الزبير-قرب خطوة الامام علي(ع) ملاحظة: موعد عيادة الاربعاء و مع ارسال صورة السن المراد عمل له حشوة والعلاج مجاني فقط سعر الباص
بالاتفاق
التفاصيل
قسم
خدمات
السعر
بالاتفاق
العنوان
كلية طب الاسنان -الزبير-قرب خطوة الامام علي(ع)
وقت النشر
قبل ١٧ ساعات
إعلانات مشابهة

بالاتفاق
علاج اسنان مجاني • البصرة • حشوة تجميلية

بالاتفاق
تعويض اسنان • طقم متحرك • الزبير
بالاتفاق
علاج مجاني • حي الحسين • قلع أسنان
بالاتفاق
طلس • معجون • بصرة

بالاتفاق
علاج اسنان مجاني • طقم اسنان • الجبيلة

بالاتفاق
صبغ ومعجون • متفرغ • البصره

بالاتفاق
قلع اسنان • جذور متبقية • البصرة الجبيلة

بالاتفاق
حشوات ضوئية • مجاناً • جامعة المعقل الجديده
بالاتفاق
تنظيف اسنان مجاني • البصرة الجبيلة • مقابل مول السلطان

بالاتفاق
تنظيف اسنان • حشوات ضوئية • علاج مجاني

بالاتفاق
علاج اسنان مجاني • قلع اسنان • طقم اسنان

بالاتفاق
علاج اسنان مجاني • قلع اسنان • تركيب طقم اسنان
نصائح سريعة قبل ما تشتري
تأكد من المعلومات (السعر، الموقع، الحالة) وقارن مع إعلانات مشابهة حتى تعرف السعر الطبيعي.
لا تحول مبالغ مقدماً، وخلي التواصل عبر رقم واضح، واتفق على لقاء بمكان آمن.
