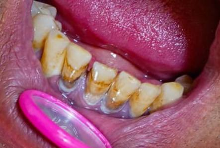
السلام عليكم المحتاج تنظيف أسنان يراسلني العلاج مجاني وتحت إشراف أطباء مختصين عيادات كلية طب الأسنان ذي قار مقابل مستشفى الحسين التعليمي يتواصل على الخاص او على رقم الواتساب ***********
بالاتفاق
التفاصيل
قسم
خدمات
السعر
بالاتفاق
العنوان
عيادات كلية طب الأسنان ذي قار مقابل مستشفى الحسين التعليمي
وقت النشر
قبل ٥ ساعات
إعلانات مشابهة

بالاتفاق
قلع أسنان • جذور أسنان • جامعة ذي قار
بالاتفاق
حشوة اسنان • طقم جزئي • علاج مجاني
بالاتفاق
قلع جذور الاسنان • مجاناً • عيادات الجامعه الوطنيه ذي قار
بالاتفاق
قلع أسنان • قلع مجاني • جامعة العين
بالاتفاق
الناصرية • شد سبالت • فتح ونقل وغسل
بالاتفاق
الناصرية • حشوات مجانية • عيادات الجامعة الوطنية

بالاتفاق
قلع أسنان • علاج مجاني • عيادات ذي قار

بالاتفاق
حشوة اسنان • مجانية • جامعة ذي قار

بالاتفاق
قلع مجانا • جامعة العين • أطباء اختصاص

بالاتفاق
قلع جذور • حشوات تجميلية • طقم اسنان جزئي

بالاتفاق
حشوة أسنان • علاج مجاني • ناصريه حي اور

بالاتفاق
قلع أسنان • حشوات مجانية • الناصرية - مركز
نصائح سريعة قبل ما تشتري
تأكد من المعلومات (السعر، الموقع، الحالة) وقارن مع إعلانات مشابهة حتى تعرف السعر الطبيعي.
لا تحول مبالغ مقدماً، وخلي التواصل عبر رقم واضح، واتفق على لقاء بمكان آمن.
