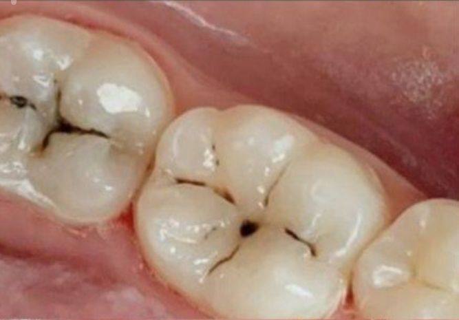
العمل مجاني بلكامل منو عنده نفس هلحالة ومحتاج حشوات يتواصل ويايه *********** العمل مجاني بلكامل الناصرية عيادات الجامعة الوطنية
بالاتفاق
التفاصيل
قسم
خدمات
السعر
بالاتفاق
العنوان
الناصرية عيادات الجامعة الوطنية
وقت النشر
قبل ١٤ ساعات
إعلانات مشابهة
بالاتفاق
تنظيف أسنان • علاج مجاني • ذي قار

بالاتفاق
قلع أسنان • علاج مجاني • عيادات ذي قار

بالاتفاق
قلع جذور • حشوات تجميلية • طقم اسنان جزئي
بالاتفاق
الناصرية • شد سبالت • فتح ونقل وغسل
بالاتفاق
ذي قار • علاج أسنان مجاني • طالب طب أسنان

بالاتفاق
قلع سن دائمي • عيادة الجامعة الوطنية • طبيب مختص
بالاتفاق
حشوة اسنان • طقم جزئي • علاج مجاني

بالاتفاق
حشوة اسنان • مجانية • جامعة ذي قار

بالاتفاق
حشوة أسنان • علاج مجاني • ناصريه حي اور

بالاتفاق
قلع أسنان • حشوات مجانية • الناصرية - مركز
بالاتفاق
نصب سبلت • صيانة سبلت • الناصرية

بالاتفاق
قلع مجاني • ناصرية حي اور • مقابل مستشفى الحسين
نصائح سريعة قبل ما تشتري
تأكد من المعلومات (السعر، الموقع، الحالة) وقارن مع إعلانات مشابهة حتى تعرف السعر الطبيعي.
لا تحول مبالغ مقدماً، وخلي التواصل عبر رقم واضح، واتفق على لقاء بمكان آمن.
