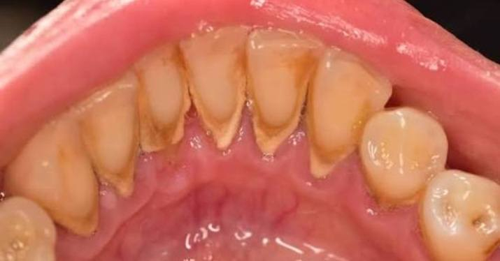
السلام عليكم ورحمة الله وبركاته الي عنده مثل هاي التكلسات والجذور المتبقية ويحتاج تنظيف او قلع يتواصل ويانه ع هذا الرقم *********** العلاج مجاني بإشراف اطباء اختصاص وننطيكم كروتكم العنوان بغداد باب معظم
بالاتفاق
التفاصيل
قسم
خدمات
السعر
بالاتفاق
العنوان
بغداد باب معظم
وقت النشر
قبل ٥ ساعات
إعلانات مشابهة

بالاتفاق
قلع اسنان • تنظيف اسنان • مجاني منصور

بالاتفاق
تنظيف أسنان مجاني • تكلسات الأسنان • كراج الموحد

بالاتفاق
محتاج عامل • صبغ سنفره • مدينة الصدر

بالاتفاق
خدمات أسنان • مجانا بإشراف أطباء • باب المعظم

بالاتفاق
تنظيف أسنان • مجاني • عيادات جامعة الهادي
بالاتفاق
فجر لبغداد • مواصلات • رحلات
بالاتفاق
طبيبة أسنان • علاج مجاني ٤ حالات • مطار بغداد

بالاتفاق
بغداد • حمل للقائم
بالاتفاق
علاج أسنان مجاني • قلع أسنان • حشوات

بالاتفاق
سبلات • غسيل مكان • كاظمية بغداد

بالاتفاق
علاج اسنان مجاني • خلع اسنان • طقم جزئي متحرك

بالاتفاق
علاج اسنان مجاني • اشراف طبي • الدوره جامعة دجله
نصائح سريعة قبل ما تشتري
تأكد من المعلومات (السعر، الموقع، الحالة) وقارن مع إعلانات مشابهة حتى تعرف السعر الطبيعي.
لا تحول مبالغ مقدماً، وخلي التواصل عبر رقم واضح، واتفق على لقاء بمكان آمن.
