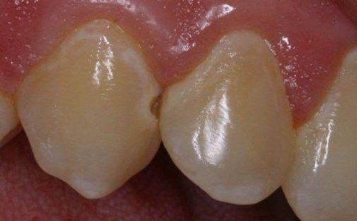
الي محتاج حشوه للاسنان للحالات الي موجوده بالصور أو تعويض الاسنان بطقم جزئي متحرك او قلع الاسنان التالفه علما بان العلاج مجاني وتحت إشراف كادر طبي مختص العنوان جامعه الوطنيه مجاور ملعب التضحيه ***********
بالاتفاق
التفاصيل
قسم
خدمات
السعر
بالاتفاق
العنوان
جامعه الوطنيه مجاور ملعب التضحيه
وقت النشر
قبل ٥ ساعات
إعلانات مشابهة

قبل ٦ ساعات
بالاتفاق
قلع أسنان • علاج مجاني • عيادات ذي قار
قبل ١٧ ساعات
بالاتفاق
قلع جذور الاسنان • مجاناً • عيادات الجامعه الوطنيه ذي قار

قبل يوم
بالاتفاق
قلع جذور • حشوات تجميلية • طقم اسنان جزئي

قبل يومين
بالاتفاق
حشوة أسنان • علاج مجاني • ناصريه حي اور
قبل ٤ أيام
بالاتفاق
ذي قار • علاج أسنان مجاني • طالب طب أسنان

قبل ٥ أيام
بالاتفاق
قلع سن دائمي • عيادة الجامعة الوطنية • طبيب مختص

قبل ٦ أيام
بالاتفاق
قلع مجاني • ناصرية حي اور • مقابل مستشفى الحسين
نصائح سريعة قبل ما تشتري
تأكد من المعلومات (السعر، الموقع، الحالة) وقارن مع إعلانات مشابهة حتى تعرف السعر الطبيعي.
لا تحول مبالغ مقدماً، وخلي التواصل عبر رقم واضح، واتفق على لقاء بمكان آمن.
