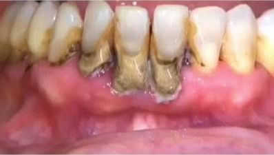
السلام عليكم شباب الي محتاج تنضيف اسنان والحالة نفس الصورة او تكلس شديد وكذلك قلع اسنان حشوة ضوئية حشوة جذر يتواصل وياي يشتغله زميلي مجانا داخل عيادات الجامعة للتواصل خاص او واتساب *********** الشطره, ذي قار
بالاتفاق
التفاصيل
قسم
خدمات
السعر
بالاتفاق
العنوان
الشطره, ذي قار
وقت النشر
قبل يوم
إعلانات مشابهة
نصائح سريعة قبل ما تشتري
تأكد من المعلومات (السعر، الموقع، الحالة) وقارن مع إعلانات مشابهة حتى تعرف السعر الطبيعي.
لا تحول مبالغ مقدماً، وخلي التواصل عبر رقم واضح، واتفق على لقاء بمكان آمن.

