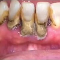
الي فاقد اسنان و محتاج طقم ل اسنانة يراسلنة العلاج مجاني ***********
بالاتفاق
التفاصيل
قسم
خدمات
السعر
بالاتفاق
وقت النشر
قبل يوم
إعلانات مشابهة

بالاتفاق
قلع جذور • تعويض أسنان • علاج مجاني

بالاتفاق
تنظيف تكلسات • مجاني • عيادات بيارق العميد

بالاتفاق
علاج أسنان • طبيب أسنان • مختلف الحالات

بالاتفاق
تنظيف أسنان • مجاني • عيادات جامعة الهادي

بالاتفاق
قلع أسنان • جذور متبقية • علاج مجاني

بالاتفاق
علاج مجاني • عيادات أسنان • شارع فلسطين

بالاتفاق
حشوة ضوئية • حشوة اسنان • علاج مجاني

بالاتفاق
قلع اسنان • جلسات تنظيف • علاج مجاني
بالاتفاق
تنظيف اسنان • قلع اسنان • مجاني بالجامعة
بالاتفاق
فقدان كامل للأسنان • علاج مجاني • تثبيت حجز

بالاتفاق
حشوة أسنان • علاج مجاني • ناصريه حي اور
بالاتفاق
طقم أسنان مجاني • تعويض أسنان كامل • الدورة شارع المصافي
نصائح سريعة قبل ما تشتري
تأكد من المعلومات (السعر، الموقع، الحالة) وقارن مع إعلانات مشابهة حتى تعرف السعر الطبيعي.
لا تحول مبالغ مقدماً، وخلي التواصل عبر رقم واضح، واتفق على لقاء بمكان آمن.
