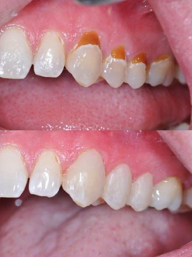
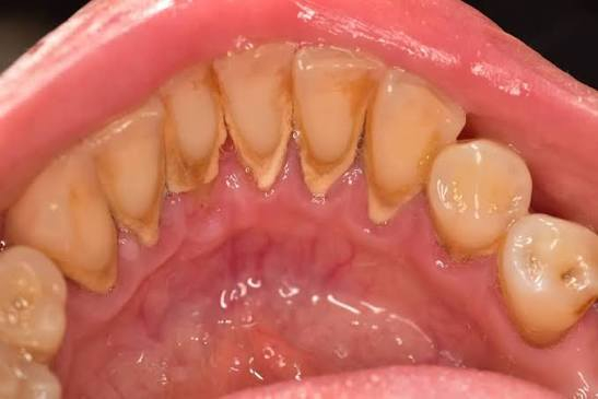
اي شخص يحتاج قلع - تنظيف((أزاله التكلسات فقط)) - اسنان متسوسه ويرغب ب معالجتها بحشوه بيضاء دائميه-لديه اسنان أماميه مكسوره ويرغب بأعاده ترميمها- لديه اسنان مفقوده ويرغب ب تعويضها بطقم (تخم اسنان متحرك جزئي) التواصل على الرقم *********** العنوان كربلاء شارع السعديه خلف مول الحارث العلاج مجاني🤍 وتحت اشراف كادر أخصائي 🤍عيادات بيارق العميد 🤍 y_s.f89 انستغرام
بالاتفاق
التفاصيل
قسم
خدمات
السعر
بالاتفاق
العنوان
كربلاء شارع السعديه خلف مول الحارث
وقت النشر
قبل يوم
إعلانات مشابهة
بالاتفاق
عيادة أسنان مجانية • كربلاء حي النقيب • قلع أسنان
بالاتفاق
علاج مجاني • حشوات تجميلية • كربلاء ـ الحر
بالاتفاق
طقم اسنان متحرك • اسعار مناسبة • كربلاء حي الحر

بالاتفاق
تنظيف اسنان • مجاني • عيادات جامعة كربلاء

بالاتفاق
علاج مجاني • كربلاء السعدية • طقم اسنان جزئي

بالاتفاق
عيادات بيارق العميد • علاج مجاني • خدمات أسنان
بالاتفاق
جامعة العميد • عيادات أسنان • تنظيف مجاني

بالاتفاق
عيادة أسنان • جامعة العميد • تنظيف مجاني

بالاتفاق
تنظيف تكلسات • مجاني • عيادات بيارق العميد
بالاتفاق
مجانا • حشوات ضوئية • كربلاء
بالاتفاق
خدمات اسنان مجانية • عيادات الصفوة • كربلاء -حي النقيب

بالاتفاق
عيادات جامعة العميد كربلاء • خدمات اسنان • علاج مجاني
نصائح سريعة قبل ما تشتري
تأكد من المعلومات (السعر، الموقع، الحالة) وقارن مع إعلانات مشابهة حتى تعرف السعر الطبيعي.
لا تحول مبالغ مقدماً، وخلي التواصل عبر رقم واضح، واتفق على لقاء بمكان آمن.
