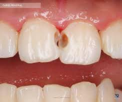
شباب اي شخص عندة مثل هاي الحالات نكدر نشتغله حشوات تجميليه وبافضل المواد وبشكل مجاني ( العلاج مجاني ) الموقع✨ كربلاء/ طريق الحر الصغير جامعة اهل البيت لتواصل واتساب …📞 ***********
بالاتفاق
التفاصيل
قسم
خدمات
السعر
بالاتفاق
العنوان
جامعة اهل البيت
وقت النشر
قبل ٤ أيام
إعلانات مشابهة

قبل ساعتين
بالاتفاق
عيادة أسنان • جامعة العميد • تنظيف مجاني
قبل ٦ ساعات
بالاتفاق
كربلاء حي الحر • علاج مجاني • تسوس سن امامي
قبل ٢١ ساعات
بالاتفاق
مجانا • حشوات ضوئية • كربلاء

قبل يوم
بالاتفاق
تنظيف اسنان • مجاني • عيادات جامعة كربلاء
قبل يوم
بالاتفاق
طب اسنان • علاج مجاني • كربلاء السعديه
قبل يوم
بالاتفاق
كربلاء • تنظيف • متفرغ

قبل ٣ أيام
بالاتفاق
عيادات جامعة العميد كربلاء • خدمات اسنان • علاج مجاني
نصائح سريعة قبل ما تشتري
تأكد من المعلومات (السعر، الموقع، الحالة) وقارن مع إعلانات مشابهة حتى تعرف السعر الطبيعي.
لا تحول مبالغ مقدماً، وخلي التواصل عبر رقم واضح، واتفق على لقاء بمكان آمن.
