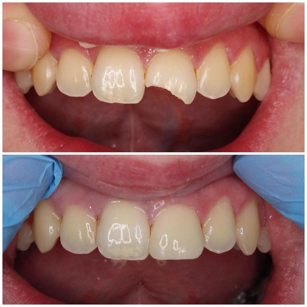
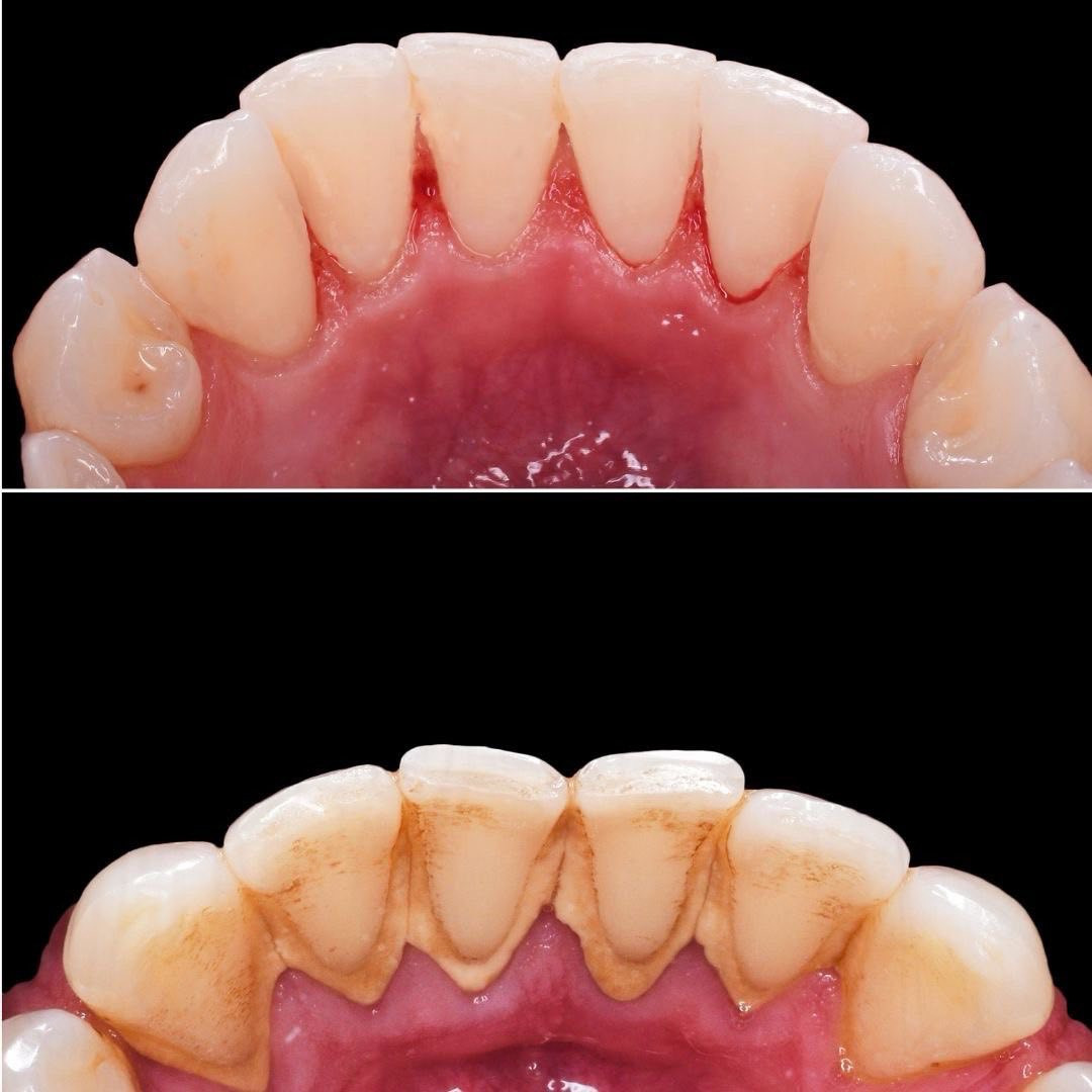
السلام عليكم الي عنده مثل هالحالات ويحتاج علاج الهم حشوات تنظيف قلع طقم أسنان جزئي يتواصل وياي: التليگرام @hawraa_ahmed9 واتساب:*********** 📍العنوان: الحلة_ شارع ٤٠ مجاور صيدلية سلامتك . والعلاج مجاااني
بالاتفاق
التفاصيل
قسم
خدمات
السعر
بالاتفاق
العنوان
الحلة_ شارع ٤٠ مجاور صيدلية سلامتك .
وقت النشر
قبل ٤ أيام
إعلانات مشابهة

بالاتفاق
حدادين • جملونات • موقع الحلة

بالاتفاق
عيادة أطفال • حشوات وقلع • الحلة شارع 40
بالاتفاق
بابل • واتساب أحمد صلاح • خدمات
بالاتفاق
قلع أسنان • تنظيف أسنان • مجاناً
بالاتفاق
علاج اسنان اطفال • مجاني • عيادات جامعه الزهراوي
بالاتفاق
قلع اسنان • مجاناً • شارع 40

بالاتفاق
حدادين • جملونات • موقع حله

بالاتفاق
علاج أسنان مجاني • حشوات وقلع • بابل شارع أربعين

بالاتفاق
تصليح سخان • تبديل هيتر • الحميدية
بالاتفاق
صب أرضيات • خباطه • الحلة
بالاتفاق
حشوات • قلع • شارع 40
بالاتفاق
ورشة الحمداني • صيانة تبريد • طويريج حي الزهراء
نصائح سريعة قبل ما تشتري
تأكد من المعلومات (السعر، الموقع، الحالة) وقارن مع إعلانات مشابهة حتى تعرف السعر الطبيعي.
لا تحول مبالغ مقدماً، وخلي التواصل عبر رقم واضح، واتفق على لقاء بمكان آمن.
