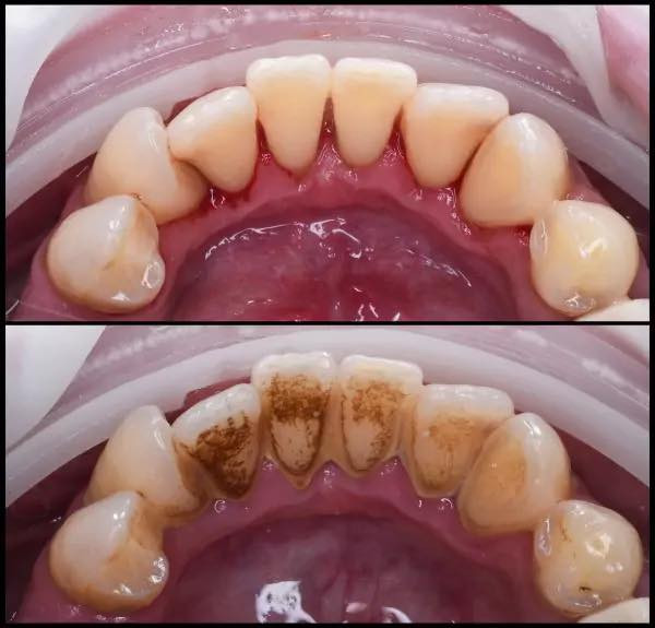
السلام عليكم اللي محتاج تنظيف لاسنانه يتواصل عالرقم *********** العمل مجاااني ، العنوان جامعة كربلاء قرب مستشفى الولادة
بالاتفاق
التفاصيل
قسم
خدمات
السعر
بالاتفاق
العنوان
جامعة كربلاء قرب مستشفى الولادة
وقت النشر
قبل ٨ أيام
إعلانات مشابهة

بالاتفاق
عيادة أسنان • جامعة العميد • تنظيف مجاني
بالاتفاق
تأسيس ماء ومجاري • صحيّات عامة • كربلاء
بالاتفاق
طب اسنان • علاج مجاني • كربلاء السعديه
بالاتفاق
كربلاء • خدمات • اعمال

بالاتفاق
عيادات جامعة العميد كربلاء • خدمات اسنان • علاج مجاني

بالاتفاق
محطة غسل • حجز • كربلاء

بالاتفاق
تنظيف تكلسات • مجاني • عيادات بيارق العميد

بالاتفاق
تنظيف اسنان • مجاني • عيادات جامعة كربلاء

بالاتفاق
كربلاء • غسل • صيانه
بالاتفاق
صيانة سبليت • غسيل تفصيخ • ورشة متنقلة

بالاتفاق
علاج مجاني • كربلاء السعدية • طقم اسنان جزئي
بالاتفاق
عيادات جامعه العميد كربلاء • خدمات اسنان • شغل مجاني
نصائح سريعة قبل ما تشتري
تأكد من المعلومات (السعر، الموقع، الحالة) وقارن مع إعلانات مشابهة حتى تعرف السعر الطبيعي.
لا تحول مبالغ مقدماً، وخلي التواصل عبر رقم واضح، واتفق على لقاء بمكان آمن.
