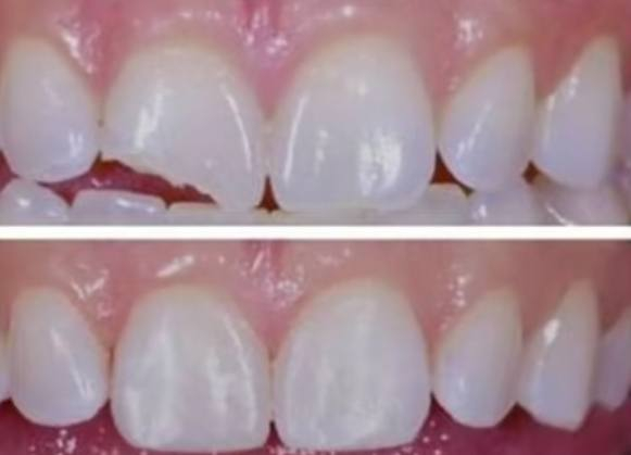
السلام عليكم ورحمه الله وبركاته الي عندة تسوسات بأسنانه تشبه هاي الصور او كسر بلأسنان الامامية يراسلني على هذا الرقم واتساب ***********علما بأن العلاج مجاني وبأشراف دكاترة مختصين وبعيادات نظيفة تضمن راحة المريض
بالاتفاق
التفاصيل
قسم
خدمات
السعر
بالاتفاق
وقت النشر
قبل ١٨ أيام
إعلانات مشابهة
بالاتفاق
عيادات اهل البيت • طقم جزئي • مجاني

بالاتفاق
قلع اسنان • بقايا جذور • علاج مجاني
بالاتفاق
حشوة بيضاء • العلاج مجاني • كلية طب الاسنان
بالاتفاق
تنظيف أسنان • علاج مجاني • ذي قار
بالاتفاق
تنظيف اسنان • مجاني • جامعة الحلة
بالاتفاق
جامعة العميد • عيادات أسنان • تنظيف مجاني
بالاتفاق
تكلسات أسنان • علاج مجاني • جامعة بلاد الرافدين

بالاتفاق
قلع أسنان • تركيب أسنان • علاج مجاني

بالاتفاق
علاج اسنان مجاني • البصرة • حشوة تجميلية
بالاتفاق
طبيب اسنان • قلع اسنان مجاني • الحله شارع ٤٠
بالاتفاق
تنظيف أسنان • علاج مجاني

بالاتفاق
طقم متحرك • علاج مجاني • القشله
نصائح سريعة قبل ما تشتري
تأكد من المعلومات (السعر، الموقع، الحالة) وقارن مع إعلانات مشابهة حتى تعرف السعر الطبيعي.
لا تحول مبالغ مقدماً، وخلي التواصل عبر رقم واضح، واتفق على لقاء بمكان آمن.
