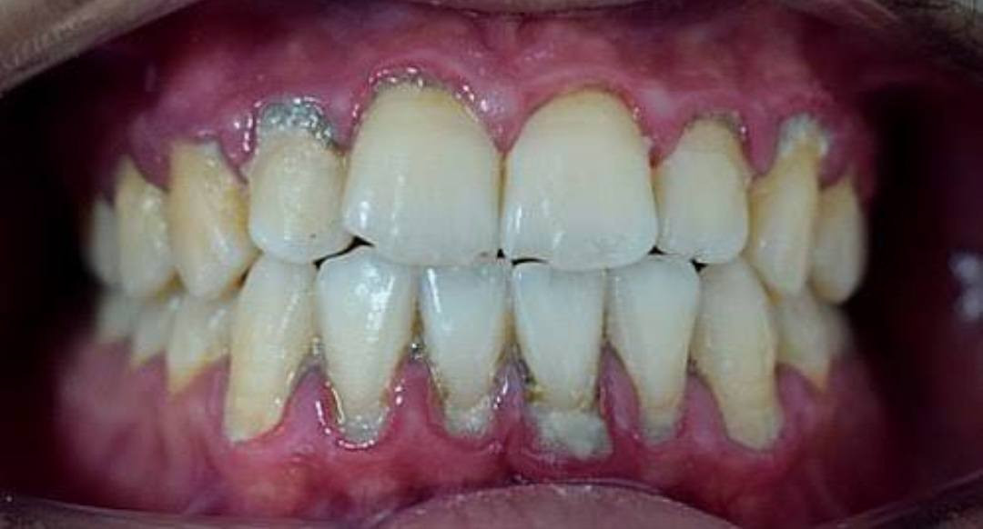
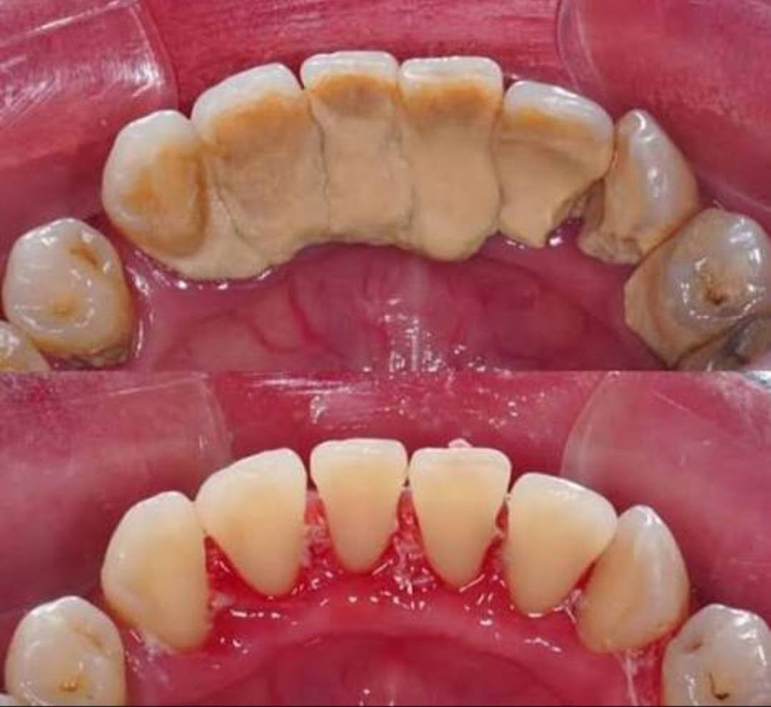
السلام عليكم تعلن عيادات جامعة بابل / كلية طب الاسنان إستقبال الحالات التالية (مجانا) فقط سعر الباص : 1_قلع الاسنان والجذور التالفه. 2-حشوات دائمية ضوئية وحشوات جذور. 3-تعويض الاسنان المفقودة بطقم كلي 4-تنظيف الاسنان وازالة التكلسات. 5- معالجة اسنان الاطفال(قلع الاسنان اللبنية/حشوات/تنظيف/وقاية الاسنان من التسوس بإستخدام الفلورايد). 6_ تقويم اسنان متحرك 7_ مشاكل في الفك الصدغي وتقرحات في الفم واللسان للحجز والاستفسار تواصل على الخاص او واتساب على الرقم📞 :- *********** العنوان🗺 : عيادات طب الاسنان_ حي الاسكان_ قرب الكراج الموحد
بالاتفاق
التفاصيل
قسم
خدمات
السعر
بالاتفاق
العنوان
عيادات طب الاسنان_ حي الاسكان_ قرب الكراج الموحد
وقت النشر
قبل ٢٠ أيام
إعلانات مشابهة

بالاتفاق
جامعة الكفيل • طب الاسنان مجانا • قلع اسنان

بالاتفاق
طقم متحرك • علاج مجاني • القشله
بالاتفاق
طب اسنان الكوفة • استقبال مجاني • تنظيف حشوة قلع
بالاتفاق
الفلوجة • مجمع البلسم الطبي • أذن أنف حنجرة
بالاتفاق
قلع اسنان مجاني • تنظيف اسنان مجاني • عيادات كلية دجلة
بالاتفاق
عيادة تاج • قرية السيد حمد • زراعة أسنان

بالاتفاق
طب اسنان الكوفة • استقبال مجاني • تنظيف وحشوة
بالاتفاق
٤ أسنان زاركون • عيادة الرواسي الدولعي • د. سيف رعد

بالاتفاق
تنظيف اسنان • قلع اسنان • مجاني
بالاتفاق
تنظيف اسنان مجاني • عيادة الماس • شارع الجريخي
٣٠٬٠٠٠ دينار
تنظيف اسنان • تلميع اسنان • عيادة سوانا

بالاتفاق
قلع اسنان • علاج مجاني • جامعة العين
نصائح سريعة قبل ما تشتري
تأكد من المعلومات (السعر، الموقع، الحالة) وقارن مع إعلانات مشابهة حتى تعرف السعر الطبيعي.
لا تحول مبالغ مقدماً، وخلي التواصل عبر رقم واضح، واتفق على لقاء بمكان آمن.
