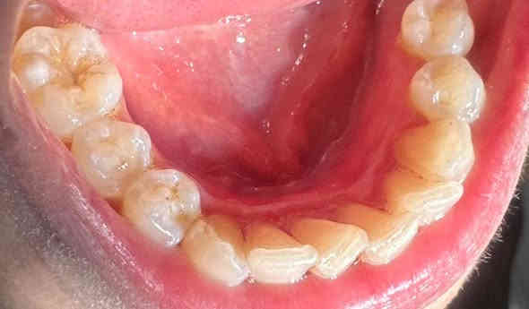
السلام عليكم / منشور للفائده الي عنده مثل هاي التكلسات يراسلني (العمل مجاني🔥 ) 📍الحله شارع 40 مجاور صيدليه سلامتك *********** ننتظركم بكل حب ♥️
بالاتفاق
التفاصيل
قسم
خدمات
السعر
بالاتفاق
العنوان
الحله شارع 40 مجاور صيدليه سلامتك
وقت النشر
قبل ٧٢ أيام
إعلانات مشابهة

قبل ١٨ ساعات
بالاتفاق
تنظيف اسنان • حشوات • مجاني

قبل ٥ أيام
بالاتفاق
تنظيف نخل • تكريب • الحلة
قبل ٥ أيام
بالاتفاق
تركيب سيراميك • تركيب مرمر • بابل
قبل ٦ أيام
٢٠٬٠٠٠ دينار
جبس بورد • عرض خاص • بابل

قبل ٦ أيام
بالاتفاق
محتاج شغل • حداد • الحلة

قبل ١٢ أيام
بالاتفاق
جص وسمنت • تركيب ارضيات • بابل
قبل ١٤ أيام
بالاتفاق
خط الحلة • جامعة بابل • انتره خصوصي
نصائح سريعة قبل ما تشتري
تأكد من المعلومات (السعر، الموقع، الحالة) وقارن مع إعلانات مشابهة حتى تعرف السعر الطبيعي.
لا تحول مبالغ مقدماً، وخلي التواصل عبر رقم واضح، واتفق على لقاء بمكان آمن.
